Statins and Dementia Prevention
Friend or Foe?
TL/DR: Statins do appear to be beneficial for dementia prevention but there was an FDA warning about them in 2012 that caused some bad press.
I was surprised recently when a client mentioned that statins might increase risk of Alzheimer’s or other neuro disorders. I recently started taking a statin for my high cholesterol and this information gave me pause about my own prevention routine. I have an APOE4 genetic risk allele and this causes both increased cholesterol and relatedly, increased dementia risk. Today I decided to dig into what we know about Statins and dementia prevention to see what the scientific literature concludes.
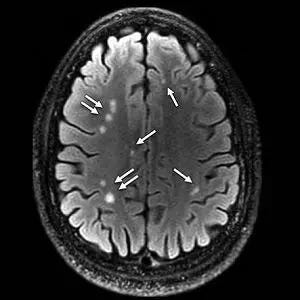
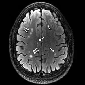
Intuitively it makes sense that statins would prevent dementia because they lower cholesterol and lipids and thus protect blood vessels from becoming clogged or bursting. About 75% of your cholesterol is made by your body, not consumed through diet, and statins prevent your liver from making as much cholesterol. When blood vessels become clogged by fats and cholesterol, small areas of the brain lose blood supply and oxygen, and this causes the neurons in that area to become damaged and the immune cells in that area to become inflamed. Micro-strokes from clogged or leaking small blood vessels in the brain cause one of the most common types of dementia, vascular dementia, and contribute to other types of dementia including Alzheimer’s. Areas of damage and micro-strokes can be seen on MRI and will be in your white matter hyper-intensities report if you have had the NeuroAge/BrainKey MRI test. White matter hyperintensities may be, to some extent, reversible with therapeutics and/or lifestyle interventions, especially if caught early. We suggest that you track them over time for this reason.
From the Mayo Clinic Proceedings 2019:
“Studies using serial imaging have shown that WMH can increase in size, shrink, or, in rare instances, disappear and, thus, raise the possibility that the process may be reversible before axonal damage and demyelination have occurred.”
The cause of my client’s question about statin use being problematic for dementia likely stems from a 2012 US FDA warning about statins. Some patients reported reversible memory problems in a couple of clinical trials with statin use:
“Adverse Event Information
Information about the potential for generally non-serious and reversible cognitive side effects (memory loss, confusion, etc.) and reports of increased blood sugar and glycosylated hemoglobin (HbA1c) levels has been added to the statin labels. FDA continues to believe that the cardiovascular benefits of statins outweigh these small increased risks.”
More recently, a meta-analysis (the highest level of scientific evidence) has combined the results of 36 clinical studies and showed that statins reduced risk of dementia by ~20%. This was true for both vascular dementia and Alzheimer’s disease and had a greater effect with high potency statins than low potency statins.
I am convinced that statin use is a net positive for dementia prevention based on what I have read and I will continue to take my statin regularly.

Written by
Dr. Christin Glorioso, MD PhD
Dr. Glorioso is the founder and CEO of NeuroAge Therapeutics. With her background in neuroscience and medicine, she is dedicated to revolutionizing brain health and helping people maintain cognitive vitality.
Learn more about Dr. Glorioso



