Parkinson's, Pesticides, and Proximity to Golf Courses
A new study showed that people who live within 3 miles of a golf course are at increased risk of Parkinson's Disease
I live near a golf course in San Francisco. A new study in JAMA Neurology linking living near golf courses to Parkinson’s Disease (PD) was not welcome news for me.
The study used data from the Rochester Epidemiology Project (REP) medical records–linkage system to explore the association between incident PD and proximity to 139 golf courses in southern Minnesota and Western Wisconsin. People living within 1 mile of a golf course showed almost 2X the risk of PD as people who lived greater than 6 miles from a golf course.
It’s important to note that PD is pretty rare. Only 1-3% of people will develop it in their lifetime. Doubling that risk still only increases your risk to 2-6%. However, many more will people develop “Parkinsonian signs”, which are like “pre-Parkinson’s” symptoms—they will walk slower and have a mild hand tremor amongst other issues.
Why does this happen?
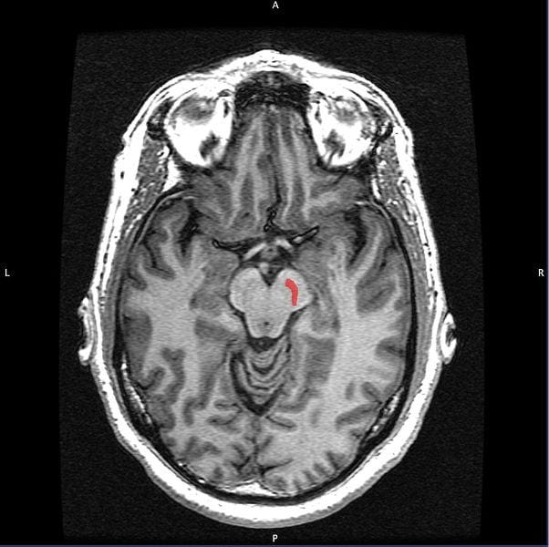
Parkinson’s is caused by the death of dopamine neurons in a small area of the brain called the substantia nigra (shown in red in the MRI below).
This part of the brain is one of the regions responsible for movement amongst other functions. We normally lose 5-10% of the neurons in this brain area per decade of adult life. PD occurs when we hit a threshold of 70% neuron loss in this area, which most people do not surpass in their lifetime. However, losing these neurons is what causes “Parkinsonian signs” and is a major reason why we slow down as we age.
Slowing down and becoming shaky is not desirable and will affect many more people than PD itself— potentially to a greater extent if they live near a golf course.
The authors speculate that the increased risk of PD from living near golf courses is due to the pesticides they use to keep the greens pristine. These pesticides leak into the drinking water, particularly in vulnerable groundwater regions.
”Golf courses are often treated with pesticides to maintain the aesthetic standards for putting greens and fairways,13 and in the US, pesticide application to golf courses can be up to 15 times higher compared with countries in Europe.”
Correlation is not causation and there could be many other reasons that people living near golf courses might have an increased risk of PD. One reason to believe that this may be a causal link is that the results were “dose dependent”— the closer you live to a golf course, the higher the risk of PD in the study. Dose-response is one strengthening criteria for causation outlined in the Bradford Hill criteria for causation.
Another causation criteria is “biological plausibility”— do we have evidence that pesticides can cause PD in animals? Yes, if you expose mice to pesticides, they develop PD. In fact, this is a common way researchers create mouse models of PD to screen new PD therapeutics. PD is caused by a combination of genetic factors and environmental factors. With the exception of rare familial forms of the disease, environmental causes and lifestyle are the biggest contributing factors.
This brings us to another causation criteria, “coherence” with existing data. Pesticide exposure is linked to PD in many studies in humans. This golf course study is consistent with previous studies examining farming pesticide exposure and PD.
Below is the “PD belt” in the US, according to a study based on data from 36 million Medicare recipients from the University of Washington.

“The largest epidemiological study of Parkinson’s disease in the United States has found that the disease is more common in the Midwest and the Northeast and is twice as likely to strike whites and Hispanics as blacks and Asians.
These are the two regions of the country most involved in metal processing and agriculture, and chemicals used in these fields are the strongest potential environmental risk factors for Parkinson’s disease that we’ve identified so far.”
Despite seemingly pretty good evidence from this new study, the data is still preliminary and we need more studies to say definitely that golf courses are the cause of this increased risk of PD. It is good enough evidence for me to start seriously evaluating what to do about my drinking water and potential pesticide exposure.
How do you test whether there are pesticides in your drinking water?
Here is what AI has to say. Apparently you need to know which pesticides to test for, which requires figuring out what pesticides may be used at your local golf course or farm.
”To test your drinking water for pesticides, you'll need to use a state-certified laboratory or a reputable mail-to-lab kit. These options offer more comprehensive analysis than at-home test kits.
Here's a step-by-step guide:
1. Choose a Testing Method:
Lab Testing: Use a state-certified lab or a commercial lab that offers water testing. You can find a list of certified labs on the EPA website or by contacting your local or state health department.
Mail-to-Lab Kits: Purchase a mail-to-lab kit from a reputable source like Tap Score or ETR Labs. These kits typically provide detailed instructions and pre-labeled shipping materials.”
Can you filter out pesticides from your water?
It appears that you can filter out pesticides from your drinking water using activated carbon or reverse osmosis according to a study in the journal Environmental Pollution:
“Nine water treatments were used: four membrane filters, an activated carbon filter, ultraviolet radiation, reverse osmosis, ion exchange resins, and ozonation. The trial was performed with tap water contaminated with an environmental concentration of 13 pesticides. According to the results, activated carbon and reverse osmosis were 100% efficient for pesticide removal, followed by ion exchange resins and ultraviolet radiation. Membrane filters, in general, showed low efficiency and should, therefore, not be used for this purpose.”
This is yet another reason for me to use my Brita water filter, which contains activated carbon. That’s a relief.
If you are going to play golf, and drink the water on the course, you might want to investigate if and how they filter their water.
If you’d like to assess your genetic risk for PD or pre-PD, or examine how you are doing with your brain aging (another risk factor for PD), you can do so with the NeuroAge Test. People with lower biological brain ages have less “Parkinsonian signs” as published in my study from when I was a scientist at MIT.

Written by
Dr. Christin Glorioso, MD PhD
Dr. Glorioso is the founder and CEO of NeuroAge Therapeutics. With her background in neuroscience and medicine, she is dedicated to revolutionizing brain health and helping people maintain cognitive vitality.
Learn more about Dr. Glorioso




